Patient Before & After Smile Portfolio

In the Midland, Odessa, West Odessa, Andrews, & Big Spring Area

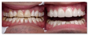
View Dr. Connally's Smile Gallery: Life Changing Smile Transformations in Midland, TX

We are proud of the dental work that we have done for our actual patients. These actual photo records are examples featuring a wide range of challenges we have been presented as well as our solutions to those problems. Keep in mind that ALL of the photos displayed in this section represent actual work performed by Midland Dentist, Dr. Connally and his staff – these are not “Stock Images” displaying the work of other dentists. In addition, there has been no digital manipulation to the “After” images in any way (beyond minor contrast, cropping and sizing to provide a balanced image for online viewing) – no “cloning” or localized color adjustments have been applied to make the photos “appear” better than the actual results that were achieved. Note: All photos in this section are the sole property of Dr. Michael S. Connally, DDS and may not be copied or reproduced in any way without expressed written consent in advance.

Side-by-side comparison of a room's transformation after renovation. Transformed living space showcasing modern decor and renovations. Interior room transformation showcasing updated decor and lighting. Comparison of a room's transformation from cluttered to organized. Transformed space showcasing significant improvements in design and functionality. Room transformation showcasing improved design and decor details. Transformed space showcasing improved design and style changes. Side-by-side comparison of a renovated room transformation. Before and after transformation showcasing improved interior design and aesthetics. Transformation showcasing significant improvements in a space or object.

Side-by-side comparison of a transformed space, showing improvement. Renovated space showcasing significant improvement and modern design. Transformed living space showcasing improved design and decor. Side-by-side comparison highlighting significant improvements in a space. Side-by-side transformation of a room's interior design. Transformation of a space from outdated to modern design. Dramatic transformation of a home interior before and after renovation. Before and after transformation of a room's interior design. Side-by-side comparison of a room renovation transformation. Side-by-side comparison of a room's transformation.
5 Stars Google Logo
5-Star Google Review

"Great service friendly staff, Deanna makes sure to schedule you in, in a timely manner, and Dr. Connally takes care of your needs. I trust this office full heartily, and always have a warm welcome."

— Yolanda P.
Stylized icon representing advanced dental technology.

State-Of-The-Art Dental Technologies

» Learn More
Calendar icon representing appointment scheduling.

Request An Appointment

» Learn More
Dr. Michael Connally, smiling in a dental office setting.
Meet The Doctor
MICHAEL CONNALLY DDS
Learn More »
A smiling patient showcasing a successful dental transformation.
View Our
SMILE PORTFOLIO
Learn More »
Illustration of a tooth surrounded by pain symbols.
Dental Appointments For
EMERGENCY CARE
Learn More »

Office Hours

Monday
8:00am - 5:00pm
Tuesday
8:00am - 5:00pm
Wednesday
8:00am - 5:00pm
Thursday
8:00am - 5:00pm
Friday
By Appointment

Quick Links

Request an Appointment » New Patient Forms » Insurance Information » Privacy Policy »
© All Rights Reserved. Michael S. Connally DDS 2026